You need to enable JavaScript in order to use the AI chatbot tool powered by ChatBot

Solutions

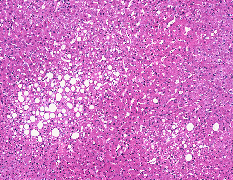
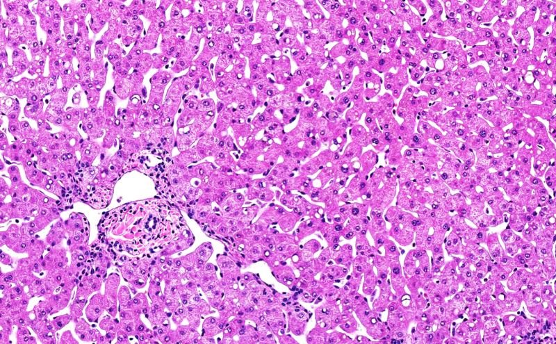
H&E Stained Human Liver Tissue

Healthy Liver
Healthy Liver
Fatty Liver
Fatty Liver
Body

FFPE Liver Tissue Blocks

LifeNet Health LifeSciences’ provides formalin-fixed paraffin-embedded blocks of human liver tissue across a spectrum of Non-Alcoholic Fatty Liver Disease/Non-Alcoholic Steatohepatitis (NAFLD/NASH) donors. Donor-matched cells and snap frozen tissue samples are also available.

  •  Donor-matched companion tissue and cell samples
  •  Donor-matched samples include Primary Human Hepatocytes, Stellate Cells, Kupffer Cells, and Liver Endothelial Cells
  •  Comprehensive donor medical and social history provided
  •  Histopathology report includes NAFLD activity score (NAS) along with H&E and Trichrome stained images
  •  Access to technical expertise and guidance from LifeSciences’ team of scientists
  •  15 x 5 x 2.5 mm blocks
  •  Immunohistochemical grade paraffin-embedded tissue
  •  Stored at 4°C
  •  Shipped ambient
  •  Histopathology assessment of tissue by board-certified pathologist; NAS* and fibrosis stage** provided
*NAFLD (Non-Alcoholic Fatty Liver Disease) score (NAS) was assigned according to the standards of the NASH CRN Scoring System (Hepatology 41: 1313-1321, 2005).
**Inflammation and fibrosis were assessed using standard Batts-Ludwig scoring methodology (Scale, 0-4, American Journal of Surgical Pathology 19: 1409-1417, 1995).
 

FFPE samples are suitable for a range of applications, including

  • Disease Modeling
  • DNA, mRNA, and miRNA Profiling
  • Gene/Biomarker expression
  • Histochemical Staining
  • Immunohistochemistry (IHC)
  • in situ Hybridization (ISH)

Comprehensive Portfolio of Liver Cells

200+

Lots

0-6

NAS Scores

0-4

Fibrosis Stages